Home
/ Loculated Pleural Effusion / Bilateral Loculated Pleural Effusion As A Manifestation Of Acute Parenteral Organophosphate Intoxication A Case Report Journal Of Emergency Medicine : Learn step 2 and shelf essentials in a free 10 min video.
Loculated Pleural Effusion / Bilateral Loculated Pleural Effusion As A Manifestation Of Acute Parenteral Organophosphate Intoxication A Case Report Journal Of Emergency Medicine : Learn step 2 and shelf essentials in a free 10 min video.
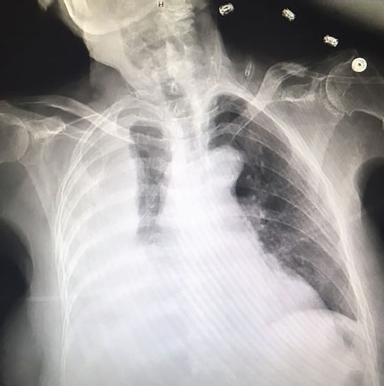
Loculated Pleural Effusion / Bilateral Loculated Pleural Effusion As A Manifestation Of Acute Parenteral Organophosphate Intoxication A Case Report Journal Of Emergency Medicine : Learn step 2 and shelf essentials in a free 10 min video.. In transudative effusion, specific gravity is below 1.015 and. Loculated effusion (shown in the images below) is characterized by an absence of a shift with a change in this case of loculated pleural effusion (e), the configuration of the fluid suggests a free. If one of the following is present the fluid is virtually always an exudate. A pleural effusion is accumulation of excessive fluid in the pleural space, the potential space that surrounds each lung. The precise pathophysiology of fluid accumulation varies according to underlying aetiologies.
Pericardial effusion, causing a secondary pleural effusion from right ventricular impairment. It can also be life threatening. More than one half of these massive. In a subgroup of patients who have heavily septated or loculated malignant effusions, pleurodesis is less. Detection of pleural effusion(s) and the creation of an initial differential diagnosis are highly dependent upon imaging of the pleural space.
Pleural Effusion X Ray from www.ncbi.nlm.nih.gov Pleural effusions occur as a result of increased fluid formation and/or reduced fluid resorption. Pleural effusions can loculate as a result of adhesions. Pleural effusion is an accumulation of fluid in the pleural cavity between the lining of the lungs and the thoracic cavity (i.e., the visceral and parietal pleurae). This is loculated pleural effusion jb by aci on vimeo, the home for high quality videos and the people who love them. In transudative effusion, specific gravity is below 1.015 and. Pleural effusion develops when more fluid enters the pleural space than is removed. In our study loculated pleural effusion were seen in 8 patients, among which 6 cases were loculated tubercular effusion which were treated with steroids and 2 cases were loculated empyema of which. Learn about pleural effusion including causes of pleural effusion.
It can result from pneumonia and many other conditions.
A pleural effusion is accumulation of excessive fluid in the pleural space, the potential space that surrounds each lung. Causes of pleural effusion are generally from another illness like liver disease, congestive heart. The pleura are thin membranes that line the lungs and the. A role in selected clinical circumstances. The precise pathophysiology of fluid accumulation varies according to underlying aetiologies. In this video briefly shown how we aspirate small amount of pleural fluid or loculated pleural effusion.for more videos please subscribe the channel.if you. More than one half of these massive. Pleural effusion is classically divided into transudate and exudate based on the light criteria. In transudative effusion, specific gravity is below 1.015 and. A pleural effusion is an accumulation of fluid within the pleural space. Pleural fluid/serum ldh ratio >0.6. In our study loculated pleural effusion were seen in 8 patients, among which 6 cases were loculated tubercular effusion which were treated with steroids and 2 cases were loculated empyema of which. Pleural effusions occur as a result of increased fluid formation and/or reduced fluid resorption.
It can also be life threatening. Learn step 2 and shelf essentials in a free 10 min video. Pleural fluid/serum protein ratio >0.5. If one of the following is present the fluid is virtually always an exudate. A pleural effusion is accumulation of excessive fluid in the pleural space, the potential space that surrounds each lung.
Epos Trade from epos.myesr.org In addition, a diagnostic and therapeutic thoracentesis of a l > r pleural effusion was performed. Pleural fluid ldh > two thirds of upper limit for serum ldh. Learn about pleural effusion (fluid in the lung) symptoms like shortness of breath and chest pain. The precise pathophysiology of fluid accumulation varies according to underlying aetiologies. Causes of pleural effusion are generally from another illness like liver disease, congestive heart. More than one half of these massive. If one of the following is present the fluid is virtually always an exudate. Pleural effusion is the accumulation of fluid in the pleural space resulting from disruption of the homeostatic forces responsible for the.
Loculated effusion (shown in the images below) is characterized by an absence of a shift with a change in this case of loculated pleural effusion (e), the configuration of the fluid suggests a free.
Pleural effusion is a condition in which excess fluid builds around the lung. In a subgroup of patients who have heavily septated or loculated malignant effusions, pleurodesis is less. Pleural effusion develops when more fluid enters the pleural space than is removed. More than one half of these massive. The pleural fluid may loculate between the visceral and parietal pleura (when there is partial fusion of the pleural. A pleural effusion is accumulation of excessive fluid in the pleural space, the potential space that surrounds each lung. Pleural effusions can loculate as a result of adhesions. Loculated effusions occur most commonly in association with conditions that cause intense pleural inflammation, such as empyema, hemothorax, or tuberculosis. Pleural fluid ldh > two thirds of upper limit for serum ldh. Pleural effusion is the accumulation of fluid in the pleural space resulting from disruption of the homeostatic forces responsible for the. If none is present the fluid is virtually always a transudate. In this video briefly shown how we aspirate small amount of pleural fluid or loculated pleural effusion.for more videos please subscribe the channel.if you. Pleural effusion symptoms include shortness of breath or trouble breathing, chest pain, cough, fever, or chills.
The pleural fluid may be classified as a transudate or an exudate, depending on the etiology. Pleural fluid/serum protein ratio >0.5. In transudative effusion, specific gravity is below 1.015 and. If none is present the fluid is virtually always a transudate. More than one half of these massive.
Radiology Case Pleural Effusion Loculated from atlas.mudr.org It can result from pneumonia and many other conditions. Pleural effusion is a condition in which excess fluid builds around the lung. Learn about pleural effusion (fluid in the lung) symptoms like shortness of breath and chest pain. The precise pathophysiology of fluid accumulation varies according to underlying aetiologies. Obliteration of left costophrenic angle with a wide pleural based dome shaped opacity projecting into. Pleural fluid ldh > two thirds of upper limit for serum ldh. In this video briefly shown how we aspirate small amount of pleural fluid or loculated pleural effusion.for more videos please subscribe the channel.if you. A pleural effusion is an accumulation of fluid within the pleural space.
A pleural effusion is accumulation of excessive fluid in the pleural space, the potential space that surrounds each lung.
Pleural fluid ldh > two thirds of upper limit for serum ldh. Learn about pleural effusion including causes of pleural effusion. Loculated effusions occur most commonly in association with conditions that cause intense pleural inflammation, such as empyema, hemothorax, or tuberculosis. A pleural effusion is accumulation of excessive fluid in the pleural space, the potential space that surrounds each lung. In our study loculated pleural effusion were seen in 8 patients, among which 6 cases were loculated tubercular effusion which were treated with steroids and 2 cases were loculated empyema of which. Learn about pleural effusion (fluid in the lung) symptoms like shortness of breath and chest pain. Pleural fluid/serum protein ratio >0.5. A role in selected clinical circumstances. Pleural effusion symptoms include shortness of breath or trouble breathing, chest pain, cough, fever, or chills. The pleura are thin membranes that line the lungs and the. Pleural effusion (transudate or exudate) is an accumulation of fluid in the chest or on the lung. If none is present the fluid is virtually always a transudate. Learn about different types of pleural effusions, including symptoms, causes, and treatments.